页面加载中
亲子

宝宝上牙龈鼓牙包图片 1岁宝宝牙龈红肿鼓包包

时间: 01-09 17:18 来源: 啊哦网 作者: Anne

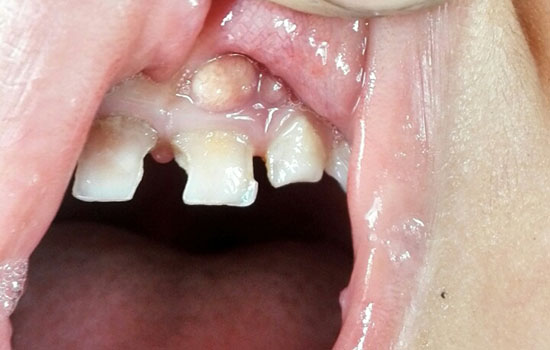
宝宝上牙龈鼓牙包是怎么回事

1、换牙正常现象

大多宝宝牙龈处鼓起的包块是正常的牙根发育现象,并非病症。有的鼓包较明显,有的不太明显,一般在换牙后会自然消失,如果包块过于突出或有明显不适时应该及早就医检查治疗。

2、牙槽脓肿

还有的宝宝上牙龈鼓牙包是因为牙根发炎了,进而形成的牙槽脓肿。这时家长应带孩子到口腔科检查看一下,配合做牙齿的根管治疗,彻底的根治炎症问题,避免以后反复发作。要知道,孩子的门牙会在八岁左右替换,牙齿牙根反复发炎会对下方的牙胚造成影响,所以一定及时治疗。

3、瘘管

宝宝上牙龈鼓牙包还有一种可能是牙龈瘘管,一般是乳牙出现了龋齿而引发的瘘管,或是牙齿根尖周病所形成的瘘管。建议带小孩到正规医院做口腔科检查,像牙科的根尖周炎的治疗就是最好的治愈牙龈瘘管的方法,治疗简单,也不会有什么疼痛和太难受。而龋齿的治疗必须尽早做,以免龋洞加深,增加治疗的难度,并引发疼痛,影响咀嚼功能等,还可还会影响以后恒牙的健康。

宝宝上牙龈鼓牙包图片 1岁宝宝牙龈红肿鼓包包宝宝上牙龈鼓牙包图片 1岁宝宝牙龈红肿鼓包包

宝宝换牙时要多注意什么

1、留意孩子的乳牙和恒牙的生长情况

家长应留意孩子的乳牙和恒牙的生长情况,定期去看牙医,以便发现问题及早解决。如果发现乳牙旁边有恒牙长出,但乳牙未脱落,形成了双排牙,这时家长要尽早带孩子去医院拔除滞留的乳牙。

另外,如果上颌门牙缝隙过大、畸形牙齿从上门牙位置长出、一颗门牙从异常位置长出,这说明可能有一个地方长多颗牙齿的情况,要到医院就诊。

2、每天督促孩子刷牙

家长应每天督促孩子刷牙,早晚各一次,预防龋齿。儿童刷牙选用儿童专用的牙膏和牙刷,刷牙方式正确,时间大概两分钟到三分钟。除了刷牙,孩子每次吃完食物最好漱一下口,保持口腔卫生。

3、多吃纤维素高、有一定硬度的食物

一些家长以为在孩子换牙时给他们吃精、细、软的食物可以保护新萌出的恒牙。殊不知,如果光吃软食,缺乏咀嚼食物的刺激,反而会影响颌骨的发育,导致乳牙“占位”,迫使恒牙不得不从乳牙的舌侧或唇侧长出,形成“双层牙”。

因此孩子换牙期间要多吃纤维素高、有一定硬度的食物,比如牛肉、胡萝卜、芹菜、玉米等,偶尔可吃些海蜇、花生、五香豆等耐嚼食物。另外,让孩子多吃硬食物、含蔗糖少的食物,水果不要削成小块,少吃零食。

宝宝上牙龈鼓牙包图片 1岁宝宝牙龈红肿鼓包包

4、纠正孩子的不良习惯

家长应及时纠正孩子的一些不良习惯,如吐舌咬舌,咬手指头或铅笔,用舌头舔牙齿等,这些坏习惯都会影响孩子牙齿的生长,导致牙齿变形。

5、特别保护第一颗恒磨牙

家长要特别保护孩子6岁左右长出的第一颗恒磨牙。因为新萌出的牙齿表层钙化不足,耐酸性差,容易龋坏。新恒磨牙萌出后一年内家长要及时带孩子到医院做窝沟封闭,预防被蛀掉。窝沟封闭是最经济有效的防止龋齿的方法。

6、防止外伤导致牙齿缺失

家长要照顾好孩子,尽量防止外伤导致牙齿缺失。儿童牙齿外伤脱落后,要找回脱落的牙齿,牙齿表面比较脏的话,立即用清水冲洗掉脏物,放入牛奶或水中尽快到医院就诊,可以做脱落牙齿再植固定。

宝宝上牙龈鼓牙包图片 1岁宝宝牙龈红肿鼓包包

展开剩余内容
标签: 宝宝换牙

相关推荐

更多
  • 亲子