美瞳线和眼线的区别 无痛就能拥有自然美睫线

时间: 07-21 来源: 啊哦网 作者: Anne
  • 手机浏览
    扫一扫 手机浏览
    推荐在WIFI环境下使用
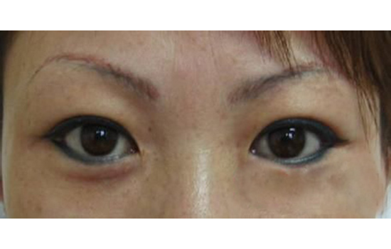
  • 美瞳线和眼线有哪些区别呢?美瞳线同样是纹眉眼睫毛部位的,跟纹眼线差不多,所以不少爱美女性们就疑惑,美瞳线是不是就是纹眼线,就是叫法不同而已。那到底有美瞳线和眼线有什么区别,小编在这里为大家的解开疑惑。

    什么是纹眼线

    纹眼线同其它纹绣技术一样,是在确定了理想的形状之后,再用针笔蘸上特别的原料纹上。只是纹眉可依头发的色泽选用多种颜色,而纹眼线只能选用黑色。此外眼线的位置要选得准确。因一旦纹上,形状便不宜改变,且颜色也永远无法褪去。

    美瞳线和眼线的区别 无痛就能拥有自然美睫线

    什么是美瞳线

    美瞳线是半永久化妆中纹眼线的一种,也是纹眼线的一种,只不过基于纹眼线又高于纹眼线的一种纹绣美容术。它是使用机器在睫毛之间与结膜内测添加点,在睫毛根部和靠近根部的褐线以上眼软骨填实,达到无痛的美瞳效果。让睫毛看起来多,增强眼神,视觉上可以放大瞳孔,像是戴了美瞳一般,半永久美瞳线一般会维持3-5年,之后会随代谢自然消失。

    美瞳线和眼线的区别 无痛就能拥有自然美睫线

    标签: 美瞳线

    相关阅读

    猜你喜欢

    prev next
    Copyright © 优美图库 版权所有 All rights reserved. 浙ICP备14043968号