美瞳线发蓝怎么回事 选错不专业的机构遗憾终生

时间: 07-21 来源: 啊哦网 作者: Anne
  • 手机浏览
    扫一扫 手机浏览
    推荐在WIFI环境下使用
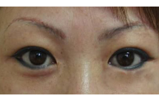
  • 美瞳线发蓝怎么回事?有些妹纸纹了美瞳线后会发现时间长了后美瞳线出现发蓝的现象,对于美瞳线发蓝感觉很担心,不知道怎么处理。今天小编来告诉你怎么淡定应对美瞳线发蓝的问题。

    为什么美瞳线会发蓝

    时下最流行的韩式半永久化妆术是一种新型纹绣技术,具有不变色、后期可根据喜好更改等优点。而且因为是采用的植物提炼的安全色料,会被人体的新陈代谢会分解吸收的,2-3年会自然消失,所以美瞳线是不会出现发蓝的问题,只会随时间逐渐变淡,直至消失。

    如果你出现了美瞳线发蓝的问题,只会有一个原因,你选在了一个不专业不合格的美容机构操作。

    美瞳线发蓝怎么回事 选错不专业的机构遗憾终生

    美瞳线发蓝的具体原因

    不合格的美容机构

    因为韩式半永久是现在实习最流行的项目,所以很多不合格的美容机构打着韩式半永久的幌子招揽生意。实际上他们根本不专业也没从事过韩式半永久方面的学习,采用的色料都是不合格的化学染料,会直接影响到后期美瞳线的上色效果,变成永久性的发蓝的难看眼线。

    美瞳线发蓝怎么回事 选错不专业的机构遗憾终生

    医生不专业的操作

    医生纹美瞳线时给你纹的美瞳线做得太宽太长太深。美瞳线是一个很精细的操作过程,如果医生纹得过轻会上色不够,纹太深灰晕色发蓝。如果你选择的医生本身技术不够好,眼线做的太宽太长,色料朝色块的周边扩散的几率会越大,之后会造成美瞳线晕色发蓝。

    美瞳线发蓝怎么回事 选错不专业的机构遗憾终生

    标签: 美瞳线

    相关阅读

    猜你喜欢

    prev next
    Copyright © 优美图库 版权所有 All rights reserved. 浙ICP备14043968号